Prof. MUDr. Jan Štulík, CSc. Informace o léčbě onemocnění páteře
s garancí Prof. MUDr. Jana Štulíka, CSc.

Co je to skolióza páteře?

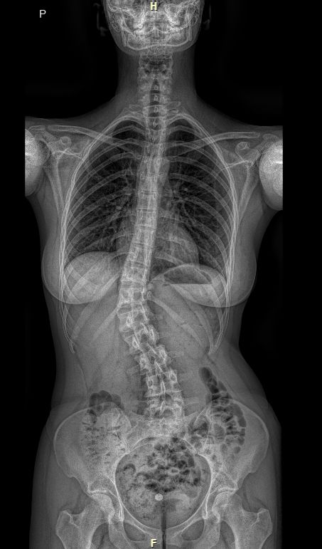
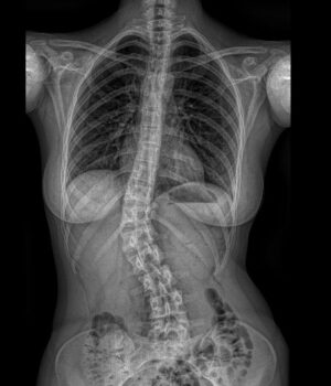
Skolióza je trojrozměrná deformita páteře s dominantním zakřivením ve frontální rovině.



Kapitola 1.

Co je to skolióza páteře, její rozdělení (klasifikace) a obecný úvod do tématu.

Definice

Skolióza je trojrozměrná deformita páteře, která je nejvíce patrná v předozadní rovině (páteř je ,,vybočena do strany“). Změny se však týkají i zakřivení páteře při pohledu z boku a obratle mohou být navíc rotované. Rozlišujeme mnoho druhů skolióz, přičemž nejčastější je tzv. idiopatická skolióza (u které neznáme jasnou příčinu vzniku onemocnění).

Nesprávný tvar a postavení páteře ovlivňuje celý pohybový aparát a může mít negativní dopad na vnitřní orgány hrudní a břišní dutiny a celkovou kvalitu života pacienta. Včasná diagnóza a vhodná léčba umožňuje předejít závažným zdravotním následkům.

Koho to postihuje

Skolióza se obvykle objevuje v dětském věku nebo v období dospívání, různé formy ale mohou postihnout prakticky kohokoliv.

Kolik jich je (incidence)

U nejčastější idiopatické formy je populační výskyt okolo 3 %. Pozorujeme zvýšený rodinný výskyt tohoto onemocnění (7 – 11 % u přímých příbuzných). Častěji bývají postiženy dívky.

Klasifikace

Skoliózy můžeme klasifikovat dle příčiny vzniku na idiopatickou, kongenitální, neuromuskulární, součást genetických syndromů a další vzácné formy.

idiopatická

Idiopatická skolióza je nejčastější formou. Příčina jejího vzniku je nejasná. Podle doby začátku onemocnění můžeme tuto formu dále dělit na juvenilní, adolescentní a adultní. Častěji bývají postiženy dívky a hlavní křivka bývá typicky v oblasti hrudní páteře.

kongenitální

Kongenitální skolióza je způsobena poruchou vývoje obratlů. Může dojít např. k vyvinutí pouze části obratle a vzniku poloobratle (hemivertebra). Další možností je srůst několika obratlů do jednoho celku (vzniká kostěná lišta). Tyto změny mohou vést k nesprávnému zakřivení páteře a vzniku skoliózy.

neuromuskulární

Neuromuskulární skolióza je spojena s onemocněními nervového a svalového aparátu (např. dětská mozková obrna, Duchennova svalová dystrofie). Porucha funkce nervů či svalů může vést k jejich ochabnutí a následně vzniku skoliózy.

Součást genetických syndromů

Skolióza se může vyskytovat také u pacientů s některými genetickými syndromy (např. Marfanův syndrom) jako jeden z projevů daného onemocnění.

Kapitola 2.

Klinické projevy

Viditelnost

Skolióza může ale nemusí být vidět. Typická bývá nestejná výška ramen (jedno rameno je výše než druhé), nestejná výška boků, prominující lopatka (,,křidélko“) a prominující žebra. Viditelné změny ale nejsou patrné u všech pacientů.

Bolest

Skolióza v dětském věku a v období dospívání obvykle nebolí ani nezpůsobuje žádné obtíže. Bolest se většinou objevuje až v dospělosti, kdy je již ale léčba skoliózy velmi problematická.

Ztráta funkce

Ztrátou funkce je myšleno omezení pohyblivosti pacienta, snížení funkce plic, útlak orgánů hrudní a břišní dutiny a v nejzávažnějších případech ochrnutí. Obvykle se projevuje u těžkých neléčených skolióz, cílem léčby je takto závažnému postižení předejít. Jiná situace je u neuromuskulárních skolióz a genetických syndromů, kdy může být ztráta funkce způsobena základním onemocněním.

Diagnostika

Klinické vyšetření

Základem diagnostiky je klinické vyšetření. Svlečeného pacienta vyšetřujeme ve stoje a v předklonu, sledujeme hybnost páteře. Zaměřujeme se na výšku ramen a boků (zda jsou na obou stranách stejně vysoko), postavení lopatek a žeber, délku dolních končetin. Hodnotíme také neurologický nález. Dále se ptáme na pacientova další onemocnění a výskyt skoliózy v rodině.

Zobrazovací metody

RTG celé páteře (EOS)

Jako první zobrazovací metodu obvykle provádíme RTG, případně EOS. Poskytuje nám obraz páteře v předozadní a boční rovině a umožňuje měřit stupeň zakřivení. RTG provádíme pravidelně na každé kontrole k posouzení vývoje křivky.

CT celé páteře

Pokud se skolióza zhorší natolik, že je indikována operace, doplníme CT. To nám ukáže páteř ve všech rovinách a je potřebné pro zavádění šroubů do páteře při operaci. Dále CT většinou doplňujeme u kongenitálních skolióz, kdy nám RTG neumožní dostatečně zobrazit nesprávně vyvinutý obratel či obratle. Přestože trvá pár minut, malé děti mohou CT absolvovat uspané.

MRI celé páteře

Před operací skoliózy také doplňujeme magnetickou rezonanci. Oproti CT zobrazí lépe měkké tkáně (ploténky, vazy) a míchu. Jde o časově náročnější vyšetření (přibližně 30 – 45 minut), proto je u dětí do 6 let běžné, že absolvují MRI uspané.

Kapitola 3.

Postupy léčby

Konzervativně

Skoliózu lze v mnoha případech léčit konzervativně (tedy neoperovat). Základem konzervativní léčby skoliózy je fyzioterapie a korzetoterapie.

RHB

Cílem fyzioterapie je posílit svaly podél páteře. Pokud je indikována, dostanete v naší ambulanci žádanku, která platí po celé České republice. S tou se objednáte na Vámi vybrané pracoviště, kam budete následně pravidelně docházet.

Analgoterapie

Pokud má pacient bolesti, můžeme je tlumit pomocí léků. Pacientovi můžeme v případě potřeby napsat doporučení do ambulance bolesti nebo k neurologovi. Vždy je však nutné nejprve zjistit příčinu bolestí a pokud to lze, vyřešit ji. Pro dětské pacienty se skoliózou není bolest typická.

Obstřiky

U dětí a dospívajících pacientů se skoliózou indikujeme obstřiky spíše výjimečně.

Infuzní terapie

Infuzní terapie je u dětí a dospívajících pacientů se skoliózou indikována spíše výjimečně.

Korzetoterapie

V korzetoterapii je důležité posoudit zralost skeletu a růstový potenciál pacienta. Obvykle je korzet doporučován pacientům s Cobbovým úhlem 20-40 stupňů, kteří ještě porostou. Pokud je růst ukončen, korzet jako léčba skoliózy nemá smysl. Korzety necháváme vyrobit na míru na Ortotice, kde si pacienta nejprve naskenují 3D skenerem a následně probíhá výroba.

Operace

Pokud se skolióza i přes konzervativní léčbu zhoršuje, zvažujeme operaci.

Kapitola 4.

Základní informace

Obvyklá doba hospitalizace je 10-14 dní dle rozsahu a závažnosti operačního výkonu, v případě kombinovaného výkonu (release + zadní korekce) je obvyklá doba hospitalizace okolo 3 týdnů. Bezprostředně po operaci není pacient probuzen přímo na operačním sále, ale ještě v celkové anestezii je převezen na ARO oddělení, kde dochází k pomalému a šetrnému probuzení z celkové anestezie a obvykle je tentýž den večer (případně další den) plně při vědomí. Pacient tak největší pooperační bolesti ,,zaspí“. Po probuzení je přeložen na JIP oddělení a následně po stabilizaci stavu (obvykle několik dní) na standardní oddělení. Zde začínáme pacienta postavovat v korzetu nebo o podpažních berlích za dopomoci fyzioterapeutů. Pacienti mají po operaci zaveden odsavný drén (případně drény), které odvádějí krev z místa operační rány. Pokud jsou odpady do drénu malé, může být drén vytažen. Stehy nebo svorky obvykle vytahujeme za 14 dní od operace.

Korzet, berle

Po operaci obvykle indikujeme chůzi o podpažních berlích nebo v korzetu po dobu tří měsíců. Korzet necháváme vyrobit na míru na Ortotice, kde si pacienta nejprve naskenují 3D skenerem a následně probíhá výroba. Rozhodnutí, zda bude pacient chodit o podpažních berlích nebo v korzetu, udělá operatér. Vždy je nutno zvážit mnoho faktorů (např. věk dítěte, průběh operace, kvalita kosti, atd.).

Doba hojení

Standardní doba hojení jsou tři měsíce. Po tuto dobu chodí pacient o podpažních berlích nebo v korzetu. Sezení je třeba omezit na minimum (po operaci doporučujeme sedat pouze na toaletu).

Post rehabilitace

Po zhojení (tedy po cca 3 měsících) přichází na řadu rehabilitace. Na ambulantní kontrole od nás dostanete žádanku (s platností po celé České republice) a také doporučení do lázní.

Kdy?

Kdy do práce (do školy)?

Návrat k běžným aktivitám probíhá postupně dle tolerance pacienta. Vždy je nutné vzít v úvahu, o jaký typ zaměstnání se jedná. Práce na PC je vleže na posteli možná relativně krátce po operaci. Naopak manuálně náročná práce je možná nejdříve za 3-4 měsíce od operace. V případě školní docházky je vhodné probrat danou situaci s vyučujícími a pokud to lze, domluvit se na možnosti distanční výuky.

Kdy sport?

Návrat ke sportu je možný nejdříve z 3-4 měsíce od operace, dle tolerance pacienta.

Kdy chůze?

Chůze o podpažních berlích nebo v korzetu je možná již několik dní po operaci. Pacient se nejprve postavuje za dopomoci fyzioterapeutů. První kroky bývají náročné (je běžné, že se pacientům po dlouhém ležení motá hlava).

Kdy kontrola?

Kontroly probíhají v 6 týdnech od operace, ve 3 měsících, poté v 6 a 12 měsících a následně jednou za rok až do dospělosti. V případě obtíží je samozřejmostí kontrola kdykoliv mimo toto schéma. Na první dvě kontroly přiváží pacienta sanita (poukaz dostává od nás při odchodu z nemocnice a při ambulantní návštěvě). Na kontrolách provádíme RTG, EOS nebo CT (dle indikace lékaře) k posouzení hojení kostní dézy a stability implantátu.

 

Prof. MUDr. Jan Štulík, CSc. s garancí Prof. MUDr. Jana Štulíka, CSc.

Úvodem Manifestace Léčba Pooperační péče


Přednosta Kliniky spondylochirurgie 1. LF a FN Motol

Spoluzakladatel české spondylochirurgie jako samostatného medicínského oboru. Profesorem v oboru ortopedie od roku 2010.

Od roku 2016 přednosta Kliniky spondylochirurgie 1. lékařské fakulty Univerzity Karlovy a Fakultní nemocnice v Motole.

Autor řady odborných publikací a několika unikátních operačních postupů. Pacienty byl vyhlášen lékařem roku 2017.